Handgefertigt



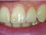
IPS e.max Press (Vollkeramik)

  • Hochfest (400 MPa) und hochästhetisch

  • Minimalinvasive, passgenaue Restaurationen

  • Vier Transluzenzstufen für maximale Flexibilität

  • Natürliche Ästhetik unabhängig von der Farbe des präparierten Stumpfes

  • Je nach Indikation: adhäsive, selbstadhäsive oder konventionelle Befestigung

Indikationen

  • Veneers

  • Minimalinvasive Inlays/Onlays (1 mm)

  • Teilkronen und Kronen

  • Brücken im Front- und Prämolarenbereich

  • Implantat-Suprastrukturen

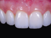
IPS e.max Press Impulse (Vollkeramik)

  • Lithium-Disilikat-Glaskeramik (LS2) mit 400 MPa Festigkeit

  • Opal-Rohlinge für hochästhetische, minimalinvasive Veneers bis 0,3 mm

  • Value-Rohlinge für natürlichen Helligkeitswert bei Kronen

Indikationen

  • (Dünne) Veneers

  • Table Tops

  • Teilkronen und Kronen

  • Brücken (bis zu 3 Gliedern)

BioHPP (Teilkristaliner Kunststoff auf PEEK Basis)

  • Breites Indikationsspektrum, speziell für Implantat-Suprakonstruktionen

  • Schockabsorbierende Wirkung "Off-Peak"

  • Geprüft und zertifiziert auf Biokompatibilität (hohe Korrosionsbeständigkeit)

  • Abrasionsbeständig

  • Keine Wasseraufnahme

Indikationen

  • Einzelkronen

  • Kurzspannige Brücken

  • Implantatsuprakonstruktionen

  • Individuelle Abutments

BreAlloy 270 (Edelmetallfreie Legierung)

  • Breites Indikationsspektrum, speziell für Implantat-Suprakonstruktionen

  • Ausgezeichnete Verbundfestigkeit mit Verblendwerkstoffen (Keramik und Composite)

  • Geprüft und zertifiziert auf Biokompatibilität (hohe Korrosionsbeständigkeit)

Indikationen

  • Einzelkronen

  • Teleskopkronen

  • Kurz- und weitspannige Brücken

Qualitäts-

Zahnersatz