Unser Service für Sie

 

Sparen sie Ihr wichtigstes Gut, Ihre Zeit!

 

Model Management

Hochpräzise Meister-Modelle

Model Management bildet das Fundament für störungsfreien Zahnersatz. Feinjustage anstelle von massivem Einschleifen ist die Grundlage für zufriedene Patienten. Unser Know-how sowie die richtigen Systeme und Produkte liefern den "Ersatzpatienten" für die tägliche Arbeit im Labor. Model Management - eine hocheffiziente Methode zur Herstellung von funktionierendem Zahnersatz.



ceramill CAD/CAM

Die funktionierende Produktionskette

Die perfekt auf einander abgestimmte Produktionskette beginnend von der Modellherstellung mit Giroform, über die Artikulation mit Artex® Model-Management-Artikulatoren. Folgend der Scan und Digitalisierung der Daten durch den Scanner MAP 300 mit Übertragungsstand. Danach das Design mit Ceramill Mind Konstruktionssoftware (CAD) und anschließender Produktion (CAM) mit Ceramill Motion Nass- sowie Trockenbearbeitung.

Fillet Mignon

Unser meistbestellten Gerichte

Unser meist bestelltes und bekanntestes Gericht ist das traditionelle Filet Mignon. Eine knusprige und leckere Kruste, eine Auswahl an Gemüse - all dies lässt das Filet Mignon zu einem perfekten Abendessen für die ganzen Familie werden.

Digitale Fotografie

Wir kommen vorbei!

Frontzahnkronen verlangen dem Techniker alles ab. Um sicher zu stellen das die Zahnfarbe bestmöglichst getroffen wird, bieten wir Ihnen als Service einen Fototermin mit Farbnahme und Dokumentation in Ihrer Praxis.

 

 

 

 

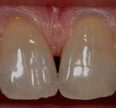
Erkennen sie die Vollkeramikkrone?

Unsere Leistungen

 

Herausnehmbarer Zahnersatz

Teleskop Prothesen aus NEM, nach unserer verbesserten Technik

Klammermodellguss

Totale Prothesen

 

Festsitzender Zahnersatz

NEM, Vollguss oder Verblendet

Zirkon, Voll oder Verblendet

Vollkeramik

BioHPP Kronen/Brücken

Langzeitprovisorien Multicolor

 

Implantat Zahnersatz

Individuelle Abutments BioHPP

Stegbasierte Prothesen

Totalprothetik

Verschraubte Kronen/Brücken

 

Eigenes CAD/CAM Fräszentrum CeraMill-Inhouse

 

Qualitäts-

Zahnersatz